Cel mai mare vis al său era acela de putea merge “de unul singur” la şcoală, de care a fost obligat să stea departe ... Acest vis a fost realizat de catre medicii turci!
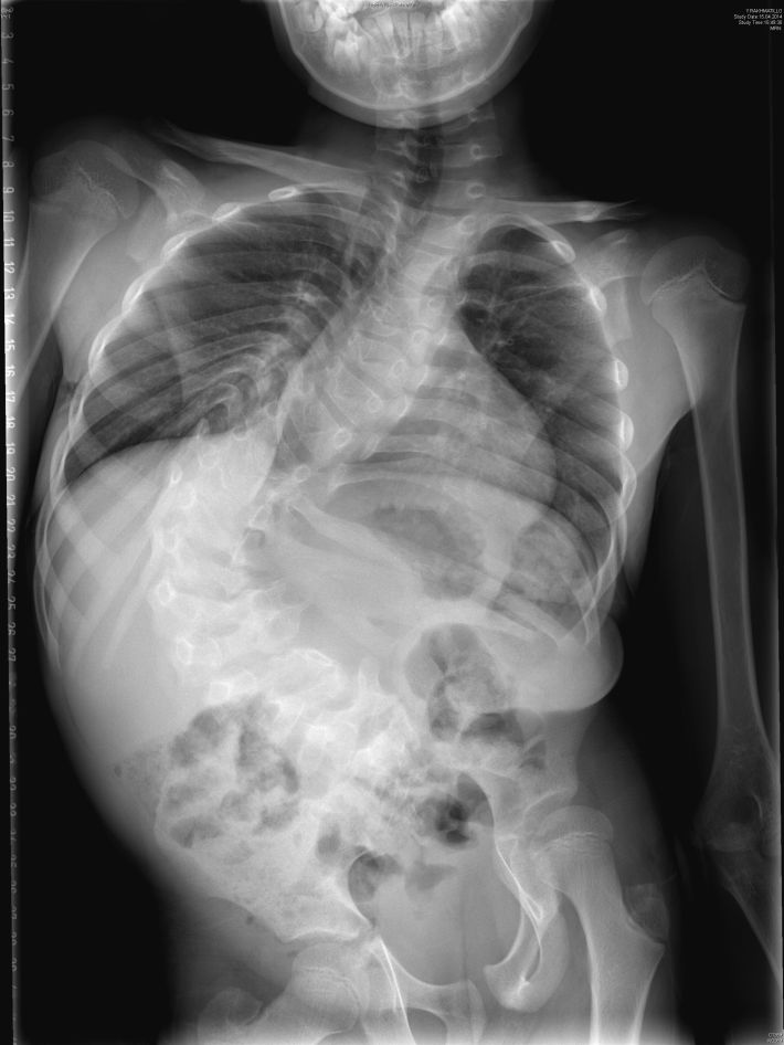
Rakhmatillo, în vârstă de 11 ani, suferea din naştere de scolioză. Părinţii acestuia l-au dus la toţi doctorii din Uzbekistan, dar tratamentele aplicate nu au avut nici un rezultat. Nu a fost operat deoarece exista riscul să rămână paralizat. O dată cu trecerea anilor boala s-a accentuat şi mai mult. Unul dintre picioare era mai scurt, iar datorită scoliozei şi a curburii din talie acesta a fost şi mai mult scurtat. Până în clasa a doua primară a mers la şcoală cu ajutorul tatălui său. Dar după aceea, pentru că mersul a fost îngreunat şi mai mult, învăţătorul a început să vină acasă. Cel mai mare vis al său era acela de a merge într-o bună zi pe propriile picioare la şcoală! Micul Rakhmatillo a reuşit să îşi vadă visul, ce părea de “neîndeplinit”, datorită medicilor turci.
Familia acestuia a auzit în Uzbekistan de renumele specialiştilor de la Acıbadem şi plini de speranţă au plecat spre Turcia. Prof. Dr. Ahmet Alanay, Specialist Boli ale coloanei vertebrale la copii şi adulţi din cadrul Spitalului Acıbadem Maslak şi Prof. Dr. Memet Özek, Medic Neurochirurg din cadrul Facultății de Medicină, Universitatea Acıbadem au făcut astfel ca speranţa să devină realitate. Cu toate că exista un risc foarte mare de paralizie în ceea ce îl priveşte pe micuţul Rakhmatillo, acesta a fost operat la un interval de o lună. Cele două intervenţii chirurgicale au fost finalizate cu succes. După mulţi ani pe feţele celor din familia Yuldashev a apărut din nou zâmbetul. De acum micuţul Rakhmatillo poate să meargă la şcoală, aşa cum şi-a dorit: “de unul singur”!
Băiețelul, în pofida vârstei fragede şi a staturii mici, a dat dovadă de multă maturitate. Toate problemele pe care le-a dus în spate l-au maturizat. Rakhmatillo, în vârstă de 11 ani, era din naştere bolnav de scolioză. Cel mai mic dintre cei doi copii. Fratele lui mai mare, în vârstă de 14 ani, era sănătos, alerga, se juca, mergea la şcoală fără probleme şi încerca să îl facă pe fratele său să uite de durerea provocată de boală. İnima familiei era îndoită de ani de zile ca şi coloana vertebrală a lui Rakhmatillo, care avea un grad de înclinare de 110 de grade. Când priveai din spate avea aspectul literei C! Ani de zile au încercat să găsească o rezolvare în Uzbekistan, nu au omis nici o uşă la care să nu bată, au fost la toţi doctorii din țară. Cu toate acestea nici unul din doctori nu a vrut să facă intervenţia chirurgicală datorită riscului ridicat de paralizie.
Când au auzi de domnul Prof. Dr. Ahmet Alanay de la Spitalul Acıbadem Maslak au luat imediat legătura cu acesta. După aceea, Prof. Dr. Alanay, Specialist ortopedie şi traumatologie şi Prof. Dr. Memet Özek, Specialist neurochirurgie s-au ocupat de tratamentul lui Rakhmatillo.
L-ar fi aşteptat probleme serioase de sănătate după vârsta de 20 de ani
Micul băieţel a avut probleme nu doar la coloana vertebrală, ci şi la măduva spinării. Aderenţele şi tensiunea creată în măduva spinării au dus la slăbirea piciorului stâng şi a cauzat pierderea puterii în picior. Ruperea unor aderenţe sunt importante din două motive. Primul este acela că, în cazul în care nu se deschide va duce la pierderea totală a capacităţii de a merge aflată deja la limită şi nu îşi va mai putea controla urinările. Al doilea motiv este acela că, în cazul în care se efectuează o intervenţie de modificare a coloanei vertebrale fără să fie deschise aderenţele, aceasta ar putea cauza paralizia. Din acest motiv Prof. Dr. Memet Özek a realizat intervenţia chirurgicală asupra măduvei spinării. După o lună, Prof. Dr. Ahmet Alanay a reuşit să remedieze printr-o operaţie de succes, care a durat 7 ore, cu ajutorul unei metode ce a dus la relaxarea coloanei prin tăierea unor bucăţi de os de la nivelul coloanei vertebrale, înclinarea coloanei care nu putea fi remediată prin metode normale şi extrem de avansate. Prof. Dr. Alanay afirmând faptul că “înclinarea coloanei la 110 grade a fost redusă la 25 de grade şi a fost redusa diferenţa piciorului, care era mai scurt datorită înclinării. A mai rămas doar problema cu piciorul scurt puţin din naştere, lucru ce va putea fi remediat dacă sub talpă se adaugă o “întăritură” subliniază un punct foarte important: ”copilul, care avea o înclinare a corpului de 110 grade şi o aderenţă la măduva spinării ar fi avut probleme respiratorii serioase la vârsta de 20 de ani, ar fi avut probleme în ceea ce priveşte controlul urinărilor şi probabil şi-ar fi pierdut în totalitate funcţiile locomotorii. Dar, starea de sănătate a lui Rakhmatillo este îmbunătăţită. Acesta a revenit la o viaţă normală. Îmi trimite poze în mod constant si nu poate fi descris sentimentul de mulţumire pe care fericirea îl dă.”
Merge la şcoală, poate să joace chiar şi fotbal
Cel mai mare vis al lui Rakhmatillo era acela ca într-o bună zi să poată să meargă la şcoală de unul singur, pe propriile picioare. De acum încolo visul său a devenit realitate. Acesta a mers la şcoală până în clasa a doua primară cu ajutorul tatălui său, dar din cauza faptului că boala a progresat acesta nu a mai putut merge. În urma solicitărilor efectuate de familie a fost numit un învăţător care venea acasă de 3 ori pe săptămână. Băieţelul era mereu trist şi chinuit în sufletul său. Îşi dorea să se joace în pauze cu prietenii lui în curtea şcolii, să alerge şi să se plimbe. Îi plăcea mult să joace fotbal, dar din cauza bolii nu putea nici să meargă. Atât tatăl său, Ergashali Yuldashev, cât şi mama sa, Deldora Yuldashev, “mureau în fiecare zi” datorită acestei boli pe care băieţelul lor o avea! Mama sa a afirmat faptul că “cea mai mare dorinţă de pe lume era ca băiatul nostru să poată să fie într-o zi un copil normal şi această dorinţă a noastră a fost îndeplinită de către medicii turci. Suntem recunoscători acestor medici”. Tatăl a menţionat faptul că fiul său cunoştea toate echipele de fotbal, îi plăcea să joace fotbal: “Cel mai mare vis al său era să poată merge singur la şcoală şi să joace fotbal. Nu există bucurie mai mare pentru noi decât să vedem că acest vis a devenit realitate. Mii de mulţumiri şi toată recunoştinţa pentru doctorii turci”.
Pentru mai multe detalii despre accesarea serviciilor medicale ale grupului Acibadem vă rugăm să contactați biroul local din România la adresa de e-mail [email protected] sau telefon 021 313 99 38, www.acibadem.com.ro.






Pentru informatii detaliate despre celelalte programe cofinantate de Uniunea Europeana, va invita sa vizitati www.fonduri-eu.ro
Continutul acestui material nu reprezinta in mod obligatioru pozitia oficiala a Uniunii Europene sau a guvernului Romaniei.
Termenii si conditiile pentru accesarea, vizionarea si folosirea acestui site le puteti gasi aici